Một đêm tháng 3 năm 1997, Medellin đã đến đồn cảnh sát ở Monroe, Bắc Carolina để nhờ giúp đỡ. Như Medlin lái xe về nhà, ông nói với một người bồi bàn tại một hộp đêm tại Charlotte, gần 30 dặm, rằng một chiếc xe lạ theo sau, với đèn pha của nó trên và sừng của nó honked phía sau. Medellin lo lắng rằng anh ta sẽ bị theo dõi bởi những vị khách từ nơi làm việc, với ý định xấu, nên anh ta đã chạy đến đồn cảnh sát.
Phải mất một thời gian cảnh sát mới trấn an Medellin. Sau khi biết về thời gian và lộ trình của Medellin, cảnh sát đã gọi và nhắc nhở nhân viên của họ làm nhiệm vụ chú ý đến chiếc xe jeep đỏ của Medellin.
Hai tuần sau, vào khoảng 4 giờ sáng ngày 29 tháng 3 năm 1997, cảnh sát tìm thấy một chiếc xe jeep màu đỏ. Xe jeep Medlin nằm bên đường. Động cơ của chiếc xe phát nổ và đèn vẫn sáng. Túi và tiền còn nguyên trên xe. Ngày hôm sau, đội tìm kiếm phát hiện thi thể của Medlin bị chôn vùi dưới một bãi rác trên con đường hoang vắng cách xe jeep một dặm.
Ảnh xe jeep bắt mắt của Jin Medlin: Filmawn. — Lý do của tội phạm là không lấy cắp tài sản, bởi vì các vật có giá trị như nhẫn cưới và dây chuyền sẽ vẫn còn nguyên trên cơ thể. Hồ sơ giải phẫu cho thấy Medlin bị chấn thương nặng ở đầu và lưng và bị siết cổ đến chết, nhưng không có dấu hiệu tấn công tình dục.
Cổ tay của Medlin có dấu hiệu bị kiềm chế, nhưng cảnh sát không tìm thấy bất kỳ liên hệ nào với hiện trường. Điều này được coi là lạ, bởi vì thông thường thủ phạm không mất thời gian để hoàn tác nó, đặc biệt là sau vụ giết người.
Theo nhân viên hộp đêm, Medlin rời nơi làm việc lúc 2 giờ chiều. Ngày nay. -trong. Nhật ký cuộc gọi cho thấy, như thường lệ, sau mười lăm phút, Medlin gọi cho chồng mình Bridgell để cho anh ta biết rằng anh ta sẽ quay lại.
Bridge tuyên bố sẽ đi ngủ sau khi Medellin kết thúc cuộc gọi điện thoại cho đến khi anh nghe được một lá thư từ người vợ mất tích lúc 4 giờ sáng. Tuy nhiên, một sĩ quan cảnh sát Monroe cho biết ông nhìn thấy chiếc xe tải màu đen Bridge Cầu lái xe ra khỏi thị trấn vào khoảng 2:30 chiều – ngã tư này không có camera giám sát, nhưng nằm ở bên đường Aum. Trong video được lấy từ máy ATM, các nhà điều tra đã thấy chiếc xe Bridge Cầu băng qua ngã tư lúc 4:20 sáng, giống như thời gian mà Bridge phải lái xe từ nhà tới đó lúc 4 giờ chiều. Tỷ lệ thuận. Để ý. Bằng chứng này đã giúp Bridgell bị loại trừ khỏi sự nghi ngờ.
Xe Medlin sườn không có dấu hiệu va chạm, nên rất có khả năng Medlin sẽ tự dừng lại. Theo vị trí đỗ xe của xe jeep Medellin, cửa sổ phía người lái xe đã bị hạ xuống và giấy phép lái xe Medellin, biến mất khỏi ví của anh ta. Các nhà điều tra cho biết hung thủ có thể là kẻ mạo danh cảnh sát, hoặc thậm chí con chấy là cảnh sát. Kẻ lạm dụng chỉ có thể yêu cầu Medlin dừng lại trên đường vào đêm khuya dưới hình thức của một lực lượng chức năng. Theo người này, sáng hôm đó, anh ta lái chiếc xe jeep màu đỏ vàng giống như vậy khi nhìn thấy một chiếc xe cảnh sát đèn xanh yêu cầu chiếc xe jeep dừng lại. Lúc đó, nhân chứng vẫn đang lái xe bằng lái, nên anh ta nhanh chóng rời đi để tránh bị chú ý.
Nếu nhân chứng là cảnh sát được nhân chứng nhắc đến, nó có thể giải thích tại sao bàn tay của Medlin của cô ấy có một chút hạn chế, nhưng không có liên lạc ở đó.
Để xác định phương tiện khả nghi nào tại địa phương, các nhân chứng đã nhìn thấy hình ảnh của những chiếc xe cảnh sát trong khu vực. Cuối cùng, người đàn ông đã chọn một chiếc xe từ Sở cảnh sát Monroe. Sở cảnh sát Monroe có lực lượng khoảng 110 người, và mọi người đều có thể sử dụng xe sau khi làm việc, vì vậy không thể thẩm vấn tất cả mọi người.
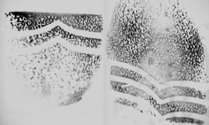
Vì vậy, ủy ban đặc biệt quay sang tìm kiếm manh mối. Trong quần sơ mi Medlin. Thanh tra phát sáng dưới nhiều nguồn sáng khác nhau và tìm thấy hình in giày ở mặt sau của chiếc áo mà Medlin đang mặc bên ngoài. Bề mặt đế từ gót đến gót không phẳng mà hơi cong, khác với đế giày thể thao cổ điển. Loại đế cứng này có hoa văn hình chữ V song song độc đáo.
Bản in giày cấp chuyên gia được lấy từ áo Medlin. Ảnh: Filmawn. So với các cơ sở dữ liệu đế giày phổ biến, các chuyên gia không thể tìm thấy đôi giày phù hợp. Tuy nhiên, sau khi kiểm tra cẩn thận, các chuyên gia phát hiện ra rằng đôi giày được sản xuất tại một nhà máy ở Wisconsin và sau đó được bán cho các cơ quan thực thi pháp luật bao gồm Sở Cảnh sát Monroe. Nhà máy cho biết đó là đậu phộng và sản xuất 17 khuôn giày đồng nhất, nhưng đế của một khuôn giày được in hoa văn hình chữ V, chẳng hạn như dấu vết quần áo của nạn nhân.
Có được kích thước của đôi giày đáng ngờ từ nhà máy, được đo bởi các chuyên gia pháp yKích cỡ của dấu giày trên áo nạn nhân, vì vậy thủ phạm ở cỡ 8, 8,5 hoặc 9 có thể được xác định. Dữ liệu giày của nhân viên Sở Cảnh sát Monroe chỉ ra rằng chỉ có ba nhân viên cảnh sát mang giày. Hãy cảnh giác với ba kích thước trên. Trong ba người này, một người phải làm nhiệm vụ tại sở cứu hỏa thành phố vào đêm xảy ra án mạng, để anh ta không thể đi đâu được. Cảnh sát viên thứ hai được cử đến để đối phó với sự xâm nhập và phải thường xuyên đối thoại với trụ sở. . Một cảnh sát viên khác, Josh Griffin, làm việc đến 10 giờ tối. Và thế là xong.

Griffin năm nay 24 tuổi và đã làm việc ở đây hơn một năm chỉ mang giày cỡ 8,5. Khi được hỏi, Griffin nói rằng anh ta đã không nhìn thấy Medlin hay xe của cô gái, cũng không dừng chiếc xe jeep đỏ đêm đó. Griffin cho biết anh trở về nhà sau giờ làm việc và đi ngủ trước khi phát hiện ra chiếc xe jeep. Tuy nhiên, hồ sơ cuộc gọi cho thấy Griffin đã gọi cho công ty trục vớt xe vào khoảng 2 giờ sáng vào ngày xảy ra vụ việc.
Trước khi xảy ra vụ việc, Griffin đã thay đổi lời khai của mình và nói rằng sau giờ làm việc, anh ta đã lái xe đến bãi đậu xe. Một nhà hàng đóng cửa, ngồi trong xe cảnh sát và đọc sách pháp luật. Lúc này, có người nhờ Griffin gọi xe cứu thương vì xe địch chết gần đó. Do đó, Griffin dừng lại ở ngã tư đường mà Medellin sẽ đi qua, khoảng 45 phút sau.
Không có bằng chứng đáng ngờ trong xe cảnh sát và nhà riêng của Griffin. Tuy nhiên, các nhà điều tra không thể tìm thấy bất kỳ đôi giày Griffin nào do đơn vị này cấp. Về điều này, Griffin nói rằng anh đã cởi giày do nghỉ giải lao tại hiện trường vụ tai nạn giao thông. Chuyên gia nên sử dụng một đôi giày mới có kích thước 8,5 để phù hợp với nhãn hiệu giày trên áo của nạn nhân và nhận được kết quả tương tự.
Khi hình ảnh của Griffin được hiển thị, các nhân viên của hộp đêm nơi Medlin Griffin làm việc chưa bao giờ xuất hiện. Vậy làm thế nào mà Griffin làm quen với Medellin?
Theo một số đồng nghiệp, dường như Griffin đã bắt đầu chú ý đến Medellin kể từ khi nạn nhân nhanh chóng đến đồn cảnh sát để được giúp đỡ hai tuần trước. Kể từ đó, bất cứ khi nào cô nhìn thấy chiếc xe jeep màu đỏ của Medellin, Griffin sẽ gọi cho các đồng nghiệp của mình và cố gắng tìm cách gặp cô gái tóc vàng hoặc chạy đến đây. Các cô gái dường như cũng lên tiếng phản đối sự quấy rối của Griffin. Với những căn cứ này, Griffin ngay lập tức bị bắt và bị buộc tội bắt cóc và giết người cấp độ một. Trên đường trở về từ Medlin, gặp nhau tại bãi đậu xe của nhà hàng đóng cửa cạnh ngã tư. Khoảng 30 đến 45 phút sau, Griffin thấy chiếc xe jeep màu đỏ của Medellin đi ngang qua và đuổi Medellin đến vỉa hè, nhân cơ hội này để tự giới thiệu.
Theo công tố viên, Griffin đã yêu cầu Medlin lên xe cảnh sát khi anh ta lấy được bằng lái xe và chờ thông tin của người lái xe. Trong xe, Griffin đã có thể cố gắng tiến về phía trước, nhưng Medlin đã từ chối. Griffin lo lắng rằng anh ta sẽ bị lộ, vì vậy anh ta hoảng loạn, còng tay Medlin và bước vào nơi hoang dã. Chấn thương vật lý của Medlin chỉ ra rằng nạn nhân đang cố thoát ra khỏi xe. Tuy nhiên, Griffin đã bắt kịp và giẫm lên lưng Medlin, để lại một hình in giày độc đáo. Cuối cùng, anh bóp cổ Medellin. Trước khi rời đi, Griffin đã tháo còng tay và chôn xác nạn nhân vào thùng rác. Ảnh: Charlotte Observer .
Tháng 2 năm 1998, Griffin bị đưa ra công lý. Ngay cả khi Griffin không nhận tội, anh ta vẫn bị buộc tội và bị kết án tù chung thân.
Ba năm sau, Griffin thú nhận giết Medellin. Trong quá trình ghi âm, Griffin nói rằng anh ta đã đạp vào lưng Medlin và bóp cổ anh ta bằng đèn pin của cảnh sát. Ngay sau khi gây án, đôi giày bị vứt vào thùng rác ở phía sau siêu thị. Bằng lái xe của Griffin bị chặt bởi Griffin và sau đó bị nghiền nát trong nhà vệ sinh.
Quốc Đạt (theo báo cáo của Associated Press Charlotte Observer)